This is a question that many people are asking today. The 7th tooth plays a crucial role in the chewing process, as well as in maintaining jaw structure and preventing serious complications. In the article below, Joy International Dental Clinic will help you better understand whether it is truly necessary to replace the 7th tooth or not.
1. What is the 7th tooth and what is its function?

The 7th tooth, also known as the second molar, is the second largest molar counted from the front teeth backward. It sits right before the 8th tooth (commonly known as the wisdom tooth). Every person typically has four 7th teeth—two on the upper jaw and two on the lower jaw, one on each side.
This tooth has a large structure with a broad chewing surface and multiple cusps. It plays a key role in grinding and breaking down food before it is swallowed and sent to the stomach for digestion. In addition to its primary function of chewing, the 7th tooth also contributes to maintaining the stability of the dental arch, supporting proper pronunciation, and preserving facial aesthetics and jaw structure.
Losing a 7th tooth can lead to numerous negative consequences, many of which people may not immediately notice. That’s why replacing the 7th tooth is considered absolutely essential.
2. Situations where the 7th tooth must be extracted
Despite its important role, there are certain cases where dentists must recommend the extraction of the 7th tooth to protect overall oral health:
-
Severe tooth decay or irreversible pulpitis: If the tooth is deeply decayed or the pulp is inflamed beyond treatment, and the damage extends to the root or causes prolonged infection, it can no longer be restored. In such cases, extraction becomes necessary.
-
Tooth fractures: Accidents, trauma, or excessive chewing force may cause vertical cracks in the tooth that cannot be restored, requiring extraction.
-
Advanced periodontal disease: If the tooth suffers from severe gum recession, infection around the root, or bone loss, it can cause chronic pain and loosen the tooth. This not only affects the 7th tooth but also endangers surrounding teeth.
-
Orthodontic reasons: In some orthodontic treatments, if teeth are overcrowded or misaligned, the 7th tooth may need to be removed to create space for proper alignment.
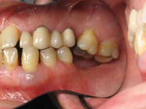
3. How losing the 7th tooth affects oral health
Unlike front teeth or canines, molars such as the 7th tooth do not grow back once lost. If the space left by a missing 7th tooth is not filled promptly with a replacement, it can lead to a series of serious complications:
3.1 Difficulty chewing and digesting food

The 7th tooth bears the highest chewing force in the entire dental arch. Without it, you may struggle to chew tough foods like meat, raw vegetables, or nuts. This results in poorly digested food reaching the stomach, which can cause indigestion, bloating, and over time, even stomach pain.
3.2 Bone loss and gum recession

The absence of a tooth means the jawbone in that area no longer receives the stimulation it needs from chewing forces. Over time, this leads to bone resorption, where the bone shrinks and recedes. As a result, the gum tissue also recedes, the cheek may appear sunken, and your face can take on a prematurely aged look.
3.3 Shifting and misalignment of surrounding teeth

When a tooth is lost, a gap is left behind. Gradually, nearby teeth may tilt or shift into this empty space due to lack of support. This causes misalignment, overcrowding, and difficulty cleaning between teeth, which increases the risk of gum disease and cavities in neighboring teeth.
3.4 Bite imbalance and jaw disorders
The tooth directly opposite the missing 7th tooth will also be affected, as it no longer has an opposing tooth to bite against. Over time, this opposing tooth may over-erupt or sink due to lack of resistance. This leads to a disturbed bite (malocclusion), causing jaw fatigue, temporal pain, and in some cases, jaw joint misalignment.
4. Is it really necessary to replace the 7th tooth?
Yes, replacing the 7th tooth is absolutely essential due to its significant role in oral health. Doing so will restore chewing function, prevent bone loss, and maintain the integrity of your jaw structure and facial appearance.
Today, modern dentistry offers a variety of effective methods for replacing the 7th tooth. One of the most advanced and recommended options is dental implant treatment.
Dental implants – a superior solution
A dental implant involves surgically placing a pure titanium post directly into the jawbone to act as a replacement root. This technique not only provides strong support for a crown but also stimulates the jawbone, preventing bone loss. Implants closely mimic natural teeth in both appearance and function.
With proper care, dental implants can last for decades. They offer a natural feel, high durability, and restore full chewing ability, helping you eat comfortably and speak clearly. You’ll also regain your confidence with a beautiful, healthy smile.
Alternative options
If implants are outside your budget, you may consider other solutions such as removable partial dentures or dental bridges. While these alternatives may not be as durable or natural-feeling as implants, they still provide substantial support in restoring function and maintaining the space of the missing tooth.
Conclusion
Although the 7th tooth lies deep within the mouth, it holds an irreplaceable role in oral and general health. Failing to replace this important tooth can lead to serious complications—from difficulty eating and jawbone loss to aesthetic issues and bite disorders.
Therefore, replacing the 7th tooth is not just a matter of restoring a lost tooth, but an essential step in preserving your overall well-being. We hope that through this article from Joy International Dental Clinic, you’ve found the information you need to make the best decision for your oral health. Don’t wait until problems arise—take action now to maintain a strong, healthy smile for years to come.

